症例写真一覧 Case list

  • スレッドリフト

    Before

    After 施術情報

    施術概要
    スレッドリフト10本
    before
    5月19日
    after
    6月16日
    副作用・リスク
    むくみ、腫れ、内出血がありますが、時間とともに治ります。
    料金内訳
    スレッドリフト 44,000円(税込)/ 本(本数割引あり)
    スレッドリフト 38,500円(税込)/ 本(糸6本〜)
    スレッドリフト 33,000円(税込)/ 本(糸10本〜)
  • スレッドリフト

    Before

    After 施術情報

    施術概要
    スレッドリフト10本
    before
    5月19日
    after
    6月16日
    副作用・リスク
    むくみ、腫れ、内出血がありますが、時間とともに治ります。
    料金内訳
    スレッドリフト 44,000円(税込)/ 本(本数割引あり)
    スレッドリフト 38,500円(税込)/ 本(糸6本〜)
    スレッドリフト 33,000円(税込)/ 本(糸10本〜)
  • スキンケア・アンチエイジング

    ピコレーザートーニング

    Before

    After 施術情報

    施術概要
    ピコレーザートーニング10回+ピコスポット取り放題1回
    before
    2月17日
    after
    7月15日
    副作用・リスク
    痂皮(かひ)化、炎症、炎症後色素沈着が発生する可能性があります。
    施術料金
    162,800円(税込)
    料金内訳
    PICOレーザートーニング1回あたり 16,280円(税込)
  • スキンケア・アンチエイジング

    ピコレーザートーニング

    Before

    After 施術情報

    施術概要
    ピコレーザートーニング10回+ピコスポット取り放題1回
    before
    2月17日
    after
    7月15日
    副作用・リスク
    痂皮(かひ)化、炎症、炎症後色素沈着が発生する可能性があります。
    施術料金
    162,800円(税込)
    料金内訳
    PICOレーザートーニング1回あたり 16,280円(税込)
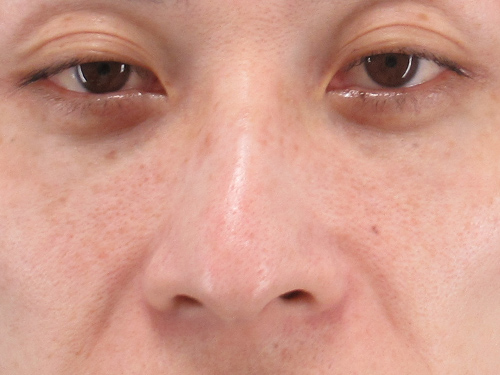
  • 目元のたるみ

    下眼瞼脱脂

    Before

    After 施術情報

    施術概要
    下眼瞼脱脂オペ
    before
    4月17日
    after
    5月15日
    副作用・リスク
    腫れと内出血がありますが、時間とともに治ります。
    施術料金
    330,000円(税込)
  • 目元のたるみ

    下眼瞼脱脂

    Before

    After 施術情報

    施術概要
    下眼瞼脱脂オペ
    before
    4月17日
    after
    5月15日
    副作用・リスク
    腫れと内出血がありますが、時間とともに治ります。
    施術料金
    330,000円(税込)
  • 注入施術

    唇ヒアルロン酸

    Before

    After 施術情報

    before
    2020年06月05日
    after
    2020年06月05日
    副作用・リスク
    むくみ、腫れ、内出血がありますが、時間とともに治ります。
    料金内訳
    【参考価格】
    デザイン料:22,000円
    +製剤料:22,000円~108,000円
    +マイクロカニューレ:2,200円
    ※ご希望の製剤によって料金は変動します。
  • バッカルファット+スレッドリフト

    Before

    After 施術情報

    施術概要
    バッカルファット除去+スレッドリフト10本
    before
    2021年07月08日
    after
    2021年07月08日
    副作用・リスク
    むくみ、腫れ、内出血がありますが、時間とともに治ります。
    施術料金
    742,500円(税込)
    料金内訳
    バッカルファット除去 330,000円(税込)
    スレッドリフト 44,000円(税込)/ 本(本数割引あり)
    スレッドリフト 38,500円(税込)/ 本(糸6本〜)
    スレッドリフト 33,000円(税込)/ 本(糸10本〜)
  • バッカルファット+スレッドリフト

    Before

    After 施術情報

    施術概要
    バッカルファット除去+スレッドリフト10本
    before
    2021年07月08日
    after
    2021年07月08日
    副作用・リスク
    むくみ、腫れ、内出血がありますが、時間とともに治ります。
    施術料金
    742,500円(税込)
    料金内訳
    バッカルファット除去 330,000円(税込)
    スレッドリフト 44,000円(税込)/ 本(本数割引あり)
    スレッドリフト 38,500円(税込)/ 本(糸6本〜)
    スレッドリフト 33,000円(税込)/ 本(糸10本〜)
  • 目元のたるみ

    下眼瞼脱脂

    Before

    After 施術情報

    施術概要
    切らない眼瞼下垂術
    before
    2017年11月18月
    after
    2019年05月01月
    副作用・リスク
    腫れと内出血がありますが、時間とともに治ります。
    施術料金
    330,000円(税込)
  • 電話予約
  • WEB予約